ABCDE Assessment
Table of Contents
Primary Survey
The primary survey can be summarized with the mnemonic ABCDE. The purpose of the primary survey is to assess what is known to kill the patient first and treat it first. It is a form of individual triage to give priorities to systems that would kill first. For instance, airway obstruction “A” if present is going to kill the patient before circulation impairment, even if also present in the same patient.
Airway and Cervical spine
The assessment of the airway patency is a clinical one. A quick way to establish this is to try and make the patient speak typically by asking the patients name. a patient who can speak has a patent airway.
Imaging studies are not part of the assessment of the airway, however, a cervical x-ray might be ordered as an adjunct to the primary survey. Diagnostic imaging, which we will explain later in this article, should not be started before the patient’s airway is stabilized.
If the airway is not patent, the cervical spine is stabilized using a cervical collar as it may be the cause of the airway pathology. Later, jaw thrust or chin lift maneuvers are carried out as one prepares to intubate the patient and obtain a definitive airway that is later used for ventilation.
Breathing
After establishing a patent airway then look, listen and feel for any breathing activities. Tension pneumothorax, massive hemothorax, and flail thorax can compromise breathing acutely. They can properly be diagnosed with physical examination, and treatment should not be delayed until imaging is available. A chest radiograph is an adjunct to the primary survey, especially if the patient has difficulties in breathing but does not meet the diagnostic clinical picture of any of the previously mentioned conditions.
Circulation
Most of the imaging modalities used in the primary survey aim to add more information about the stability of the patient’s circulation. For instance, focus abdominal sonography in trauma FAST can be helpful in detecting free fluid in the abdomen which is suggestive of internal bleeding. Pelvic x-ray can demonstrate a pelvic fracture which might be the cause of pelvic hemorrhage.
Disability
In addition to the clinical assessment of the trauma patient, imaging studies can also provide valuable information about the degree of injury the patient might have. For instance, in patients with traumatic brain injuries that are classified as moderate or severe, a cranial computed tomography scan is warranted to exclude an intracranial pathology. Cranial computed tomography is part of the secondary survey and not the primary survey.
Exposure and Environment
The patient’s environment should be safe, and the likelihood of recurrent injury should be minimized. The role of imaging is limited here.
Plain x-rays of injured limbs may be orders at this stage for classification of fractures identified and appropriate management.
Secondary Survey
During the secondary survey, the patient is examined from head to toe and appropriate radiographic investigations are requested as indicated. Therefore, imaging of the thoracic or lumbar spine, or radiographic evaluation of an extremity injury is part of the secondary survey and not the primary survey. Computed tomography scans are part of the secondary survey.
Imaging Studies in Blunt Trauma to the Thorax
A chest radiograph is obtained in any intubated patient to evaluate the position of the tubes and lines. Moreover, patients should get a chest radiograph with suspected:
- Pneumothorax
- Hemothorax
- Mediastinal abnormalities
- Difficulty breathing
A computed tomography scan of the chest is needed if a traumatic aortic injury is suspected. A contrast-enhanced helical computed tomography scan is needed to exclude aortic injury and/or mediastinal hemorrhage. If an aortic injury is present, a trauma surgeon should be consulted immediately and no further imaging should be ordered unless requested by the trauma surgeon expert. Computed tomography scans for screening for lung contusions are not recommended.
Imaging Studies in Blunt Trauma to the Abdomen
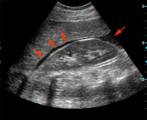
Focused abdominal sonography in trauma (FAST) should be used in any hemodynamically unstable trauma patient to document fluid in the pericardial sac, hepato-renal fossa, spleno-renal fossa, and pelvis. FAST is a rapid-non-invasive technique that can be performed at the bed side and can be repeated whenever requested.

FAST is helpful in the evaluation of patients who are hypotensive post-trauma and can generally classify patients into those requiring urgent laparotomy from those who do not depending on the presence of fluid in any of the previously mentioned four compartments examined in FAST.
Abdominal computed tomography scans are part of the secondary survey and they are helpful in the diagnosis of visceral and vascular injuries.Abdominal computed tomography scans must be performed only in hemodynamically stable patients. If helical computed tomography is available, the procedure might be performed even in a patient that is hemodynamically unstable.
If diaphragm rupture is suspected, an upper gastrointestinal contrast study is the imaging modality of choice. Multi-detector computed tomography is also helpful in the evaluation of diaphragmatic injuries.
Imaging Studies in Blunt Trauma to the Pelvis
A pelvic radiograph should be obtained when the mechanism of injury in the trauma patient is known to be associated with a high risk of a pelvic fracture. Computed tomography scans of the pelvis are superior to plain radiographs and they might be considered as part of the secondary survey of a patient suspected to have a pelvic fracture. FAST should be also performed in any patient with suspected pelvic fracture to exclude hemorrhage.
Patients with suspected bladder rupture should get a computed tomography cystogram to assess the integrity of the urinary bladder.
Imaging Studies for the Cervical Spine
Patients should not receive a cervical spine radiograph if they are:
- Awake
- Alert
- Sober
- Neurologically normal
- Do not have neck or midline tenderness
All other patients should receive a lateral, anteroposterior, and open-mouth odontoid view of the C-spine. If cervical spine injury is suspected, a computed tomography scan of the cervical spine with 3-mm intervals should be obtained. Multidetector CT assessment is also recommended if available.
Patients with neurological deficits should receive a cervical spine magnetic resonance imaging study. CT angiography or angiography for the evaluation of injury to the carotid or vertebral artery might be needed in select patients.
Imaging in Traumatic Brain Injury
A computed tomography of the head to exclude intracranial pathology should receive all patients with:
- Focal neurological deficits
- Glasgow Coma scale below 14 despite adequate resuscitation
- Amnesia
- Loss of consciousness more than 5 minutes
- Repeated vomiting
- Severe headaches after head trauma
The most commonly encountered intracranial pathologies are: epidural hematomas, subdural hematomas, brain contusion, intraventricular hemorrhage, and subarachnoid hemorrhage.
Patients with severe traumatic brain injury, defined as a Glasgow Coma Scale below 9, should receive a cervical computed tomography scan in addition to head computed tomography imaging. Patients with penetrating head injuries should also receive a computed tomography scan despite their Glasgow Coma Scale score.

Comentários
Enviar um comentário